Динамічна стабілізація хребта
Динамічна стабілізація хребта передбачає застосування так званих гнучких фіксаційних систем – рухомих протезів міжхребцевих дисків, гнучких стержнів для скріплення імплантів та кісткових структур хребта, а також так званих амортизаторів – гнучких міжхребцевих імплантів, що регулюють діапазон рухів уражених хребців.
Суть використання динамічних систем стабілізації хребта – це відновлення природної анатомічної геометрії хребта зі збереженням його біомеханічних властивостей, без жорсткого блокування хребців, з максимальною фізіологічною рухливістю в хребетно-рухових сегментах.
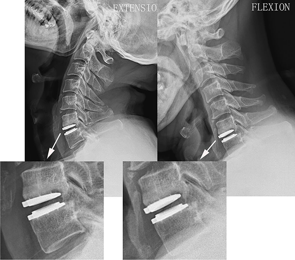
Для динамічної стабілізації шийного відділу хребта (DCI) використовуються спеціальні системи, які передбачають встановлення спеціального імпланту між тілами шийних хребців переднім доступом замість видаленого міжхребцевого диска.
Особливості динамічних систем стабілізації хребта
Відмінною особливістю динамічних систем стабілізації хребта є те, що вони дозволяють усунути розвиток нестабільності в ураженому сегменті і запобігти розвитку дегенеративних змін в суміжних хребетно-рухових сегментах. Збереження рухливості в оперованих і суміжних з ними сегментах забезпечує фізіологічну повноцінність функцій хребта.
Крім того, динамічна стабілізації хребта дозволяє зняти надмірне навантаження з міжхребцевих («фасеткових») суглобів і запобігти розвитку їх дегенеративного ураження з формуванням так званої «хвороби суміжних рівнів».
Нейрохірург Борблик Є.В.
Стаття написана: 22.01.2017
Стаття перевірена медичним спеціалістом: 16.10.2024
Популярні напрямки:
Переваги
Звертаючись до нейрохірурга, ви можете розраховувати на:












