Групи
- первинні, тобто почали своє зростання кістках черепа,
- і вторинні, які наслідком пухлин, які взяли свій початок в інших органах.
Утворення кісток черепа поділяються на злоякісні і доброякісні.
Первинні доброякісні пухлини
До первинних доброякісних пухлин можна зарахувати такі утворення, як:
- остеоми,
- гемангіоми,
- холестеатоми,
- дермоїдні кісти.
До первинних злоякісних пухлин відноситься остеогенна саркома.
Вторинні
Вторинні це ті, які розвинулися інших органах і системах організму:
- молочній залозі,
- нирках,
- легенях,
- передміхуровій залозі та т.д.,
- супроводжувався метастазами в мозок.
Метастазування в головний мозок і кістки черепа може також меланома одна з найбільш агресивних пухлин в людському організмі, первинно вражає шкіру.
Первинні доброякісні
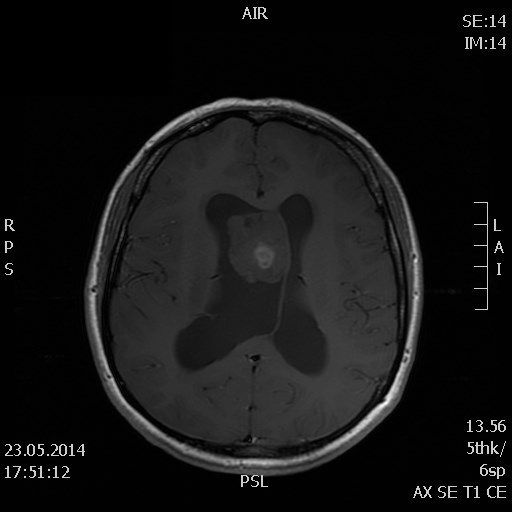
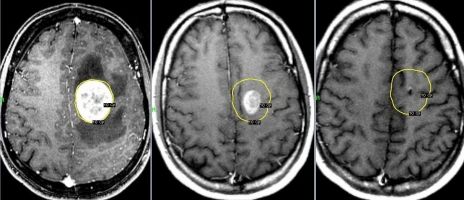
Остеоми являють собою «кісткові вирости» на зовнішній або внутрішньої поверхні кісток черепа. Вони можуть бути як поодинокими, так і множинними. Ці новоутворення дуже повільно ростуть і майже ніяк себе не виявляють їх в більшості випадків випадково виявляють під час рентгенологічного обстеження. Видалення така пухлина потребує у тих випадках, якщо вона викликає компресію прилеглої мозкової тканини, а також якщо пухлина викликає косметичний дефект.
Гемангіома досить рідко зустрічається, доброякісне судинне новоутворення кісток черепа, яке також в основному діагностується випадково, під час рентгенографії або комп’ютерної томографії, через відсутність будь-яких симптомів.
Холестеатома
Новоутворення в м’яких тканинах, однак з часом воно може провокувати розвиток великих дефектів кісток черепа. Це пухлиноподібне утворення, що містить змертвілий епітеліальні клітини та суміш інших речовин (скупчення кератину, кристали холестерину), оточене сполучною тканиною у вигляді капсули.
Епідермоїдні і дермоїдна кісти
це пухлиноподібні утворення, що мають форму кісти та стінку зі сполучної тканини, вмістом кісти придатки шкіри (багатошаровий епітелій, потові, сальні залози, волосся і жирові включення). Небезпека такої кісти полягає в тому, що вона здатна поступово руйнувати кістки склепіння черепа.
Формування цих кіст відбувається ще в ембріональному періоді, потім вони можуть досягати розмірів великої горошини та навіть волоського горіха. Для лікування дермоїдних і епідермоїдний кіст використовується тільки хірургічне втручання, інших методів лікування немає. При цьому їх оболонка повністю видаляється.
Проростати в кістки черепа з їх руйнуванням може також і вищеописана менінгіома. Множинні дефекти в кістках черепа за типом округлих «пробійників» зустрічаються при множинній мієломі (плазмоцитомі) пухлинному захворюванні крові з групи лейкозів.
Хондросаркоми і остеосаркоми
Остеогенна саркома розвивається зазвичай у молодих пацієнтів, швидко зростає, досягаючи великих розмірів, має тенденцію проростати в тверду мозкову оболонку і метастазувати в кістки скелету: ребра, таз, хребет, грудину.
Вторинна остеогенна саркома розвивається, коли відбувається поширення метастазів з первинних пухлин (молочної залози, легенів, щитоподібної залози та інших органів) в кістки черепа.
Лікування
Лікування цих пухлин складається зазвичай в максимально можливому хірургічному видаленні в поєднанні з опроміненням і хімієтерапія при необхідності.
Оперативне лікування пухлин кісток черепа
Оперативне лікування пухлин кісток черепа єдиним ефективним методом лікування.
Обсяг операції залежить від:
- гістологічної структури,
- розмірів утворення,
- ступеня і глибини пошкодження кістки.
Процес операції
При поверхневих доброякісних пухлинах (остеома), можливе видалення тільки самої пухлини зі збереженням внутрішніх ділянок кістки. При злоякісних пухлинах необхідна максимально радикальна резекція пухлини кісток черепа з резекцією межуючих з пухлиною ділянок кістки.
Під загальним наркозом біля краю пухлини фрезою фірми Stryker накладається невеликий отвір, через який спеціальними борами та фрезами пухлина видаляється від кістки голови.
При наявності проростання пухлини в порожнину черепа виконується додаткове видалення тканини пухлини кісток черепа зі збереженням мозкової тканини та пластики оболонок головного мозку спеціальними матеріалами. При цьому використовуємо мікроскоп Carl Zeiss.
Після резекції пухлини кісток черепа, робимо пластику утвореного дефекту кістки спеціальною титановою сіткою, кістковим цементом.
Відновлення після операцій
Відновлення після відкритих операцій зазвичай триває довго. Пацієнт перебуває під ретельним медичним наглядом для запобігання можливим ускладненням, таким як кровотечі або інфекційні ураження. Регулярні огляди, контроль за станом рани та правильний догляд є важливими складовими успішної реабілітації. Важливо відзначити, що після завершення лікування пацієнт, за умови дотримання рекомендацій, може повністю відновити втрачені функції та повернутися до звичного способу життя.
Залежно від характеру пухлини кісток надалі проводиться променева, хімієтерапія.
Нейрохірург Дмитрук В.С.
Стаття написана: 27.05.2020
Стаття перевірена медичним спеціалістом: 12.03.2025
Популярні напрямки:
Переваги
Звертаючись до нейрохірурга, ви можете розраховувати на:











