Значення
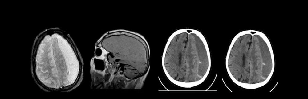
Субдуральна гематома – це скупчення крові яке утворюється між твердою мозковою оболонкою і головним мозком, основною причиною якої є травма. Основним джерелом кровотечі є пошкоджені вени мозку. Хронічною вважається гематома яка виникла понад 14 діб після черепно-мозкової травми.
Головною особливістю за якою можна відрізнити гостру субдуральну гематому від хронічної це наявність сполучнотканниної капсули яка формується з 2 тижнів після ЧМТ, і відмежовує гематому від головного мозку.
У більшості випадків пацієнти не звертаються за медично допомогою і можуть ходити з цією проблемою по кілька місяців і навіть років. Іноді навіть незначні удари у ділянку черепа можуть призводити до даних проблем, і тільки при розпалі клінічної симптоматики пацієнти звертаються за медичною допомогою.
Симптоми
- головний біль (який носить, частіше за все, «розпираючий» характер),
- запаморочення, нудота, блювання,
- порушення мови (хворий не може сказати слова і / або не розуміє сенсу сказаного),
- слабкість в кінцівках з протилежного боку від удару
- епіприступи, порушення психіки, порушення пам’яті
- менінгеальний синдром.
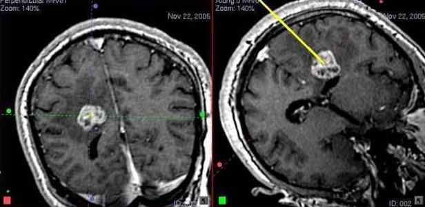
Методи діагностики
ЕХО-ЕС – при відсутності КТ, МРТ. Провідними методами діагностики є КТ і МРТ головного мозку. Комп’ютерна томографія в основному проводиться в гострий період травми тому, що краще візуалізується скупчення крові між дуральною оболонкою та мозком.
При хронічній субдуральній гематомі для діагностики перевагу віддають МРТ.
Показання до оперативного лікування
- обсяг гематоми (за даними нейровізуалізації) понад 50 мл в об’ємі.
- дислокація серединних мозкових структур понад 5 мм
- деформація базальних ядер,
- обсяг гематоми (за даними нейровізуалізації) понад 50 мл в об’ємі.
- грубе здавлення бічних шлуночків з розвитком гідроцефалії незалежно від розмірів та локалізації.
Оперативне лікування субдуральних гематом у більшості випадків, якщо в структурі гематоми немає перегородок, здійснюється через 2 невеликих отвори в кістках черепа, через які заводяться трубки для приточно-відточної системи через які протягом доби вимиваються залишки гематоми і дренажі видаляються на 2-3 день після операції.
Стаття написана: 30.01.2017
Стаття перевірена медичним спеціалістом: 12.03.2025
Популярні напрямки:
Переваги
Звертаючись до нейрохірурга, ви можете розраховувати на:









