Діагностика
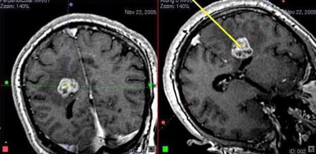
Іноді, при пухлинах, які явно неможливо видалити або при сумнівах в природі внутрішньомозкової пухлини, проводиться діагностична операція біопсія пухлини головного мозку. Це втручання полягає в тому, що через невеликий фрезевий отвір в кістках черепа спеціальний інструментарій підводиться до пухлинного вузла і береться зразок тканини пухлини для гістологічного і, або, гістохімічного дослідження.
Переваги
Це дає можливість максимально точно становити природу новоутворення мозку і визначити оптимальну подальшу лікувальну тактику в даному конкретному випадку чи буде надалі проводиться:
- розширене оперативне втручання,
- або ж променева терапія,
- радіохірургія,
- хіміотерапія даної пухлини.
Стаття написана: 30.01.2017
Стаття перевірена медичним спеціалістом: 11.09.2024
Популярні напрямки:
Переваги
Звертаючись до нейрохірурга, ви можете розраховувати на:









