Пухлини головного мозку
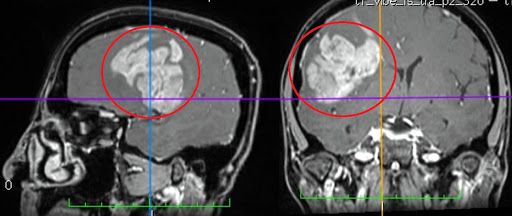
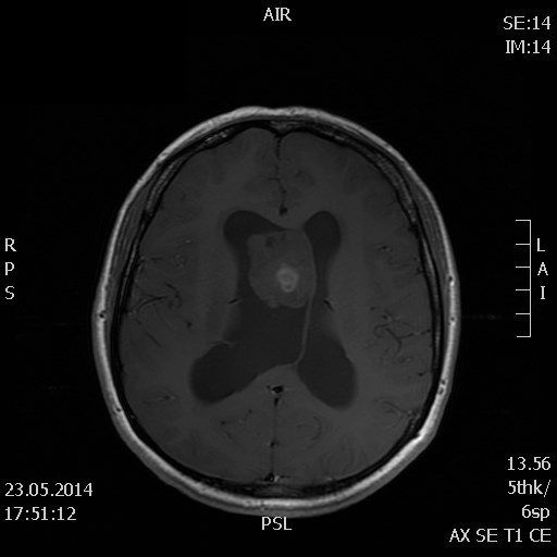
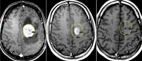
Найбільшу частину серед усіх пухлин головного мозку (приблизно 50%) становлять внутрішньомозкові гліальні пухлини.
Гліоми – це первинні новоутворення, що виникають з нервових клітин (нейронів і супутніх клітин).
Типи
Серед гліальних злоякісних пухлин найчастіше зустрічаються:
- гліобластоми (до 20%)
- та анапластичні астроцитоми (до 19%).
При цьому значно частіше зустрічаються злоякісні форми астроцитом.
Місця розташувань
«Улюблені» місця розташування гліом:
- лобні,
- скроневі
- та тім’яній долі головного мозку.
Більшість хворих це люди у віці від 40 до 65 років. Все вищеперераховане підкреслює не тільки медичну, але і соціальну значущість онкологічної патології головного мозку.
Симптоми
Симптоми пухлин головного мозку характеризуються прогресивним розвитком захворювання неухильним наростанням загальномозкової, вогнищевої та загальносоматичної симптоматики, які обумовлені явищами пухлинної інтоксикації.
Найбільш постійними та типовими загальномозковими симптомами являються:
- головний біль,
- блювота,
- порушення свідомості,
- запаморочення,
- менінгеальний синдром.
Швидкість виникнення і степінь виразності цих симптомів залежать від розміщення і особливості росту пухлини.
Вогнищеві симптоми
До вогнищевих симптомів новоутворень мозку відносять:
- психічні порушення,
- афазію (порушення мови),
- парези і паралічі,
- порушення чутливості,
- порушення зору,
- порушення слуху,
- судоми,
- порушення рівноваги і т.п.
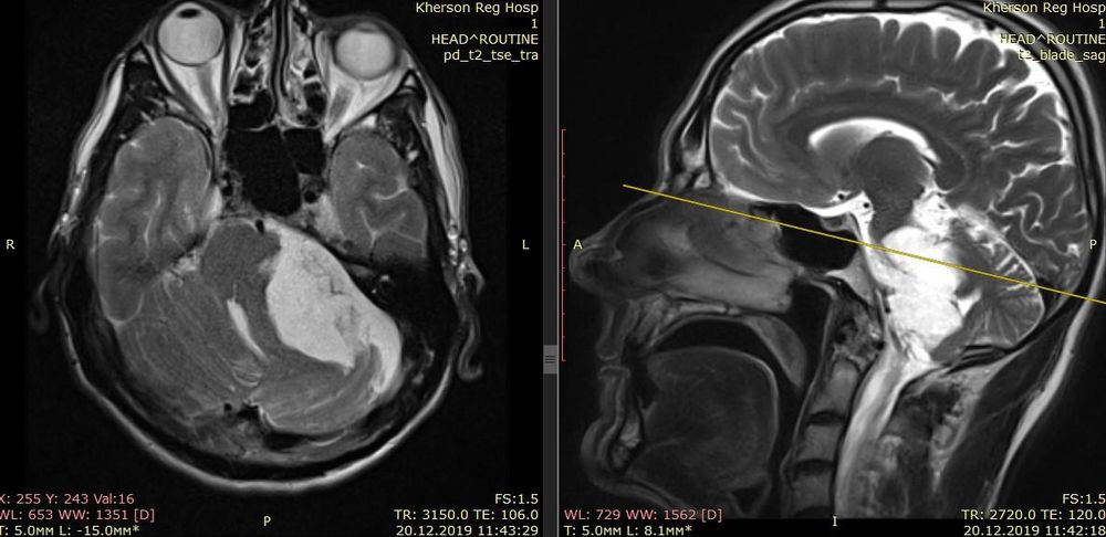
Неліковані анапластичні астроцитоми та мультиформні гліобластоми, являються швидкопрогресуючими пухлинами, які приводять до смерті пацієнтів у період від кількох місяців до року.
Лікування
Комбіноване лікування гліальних пухлин головного мозку містить:
- Нейрохірургічну операцію з метою видалення пухлини,
- хімієтерапевтичне лікування
- і променевої терапії (або радіохірургії), залежно від гістологічного варіанту пухлини.
Хірургічне лікування внутрішньомозкових пухлин
Провідним методом для лікування внутрішньомозкових церебральних новоутворень залишається їх хірургічне вилучення. У нашому відділенні вилучення пухлин головного мозку проводиться під операційним мікроскопом, із застосуванням мікроінструментарію, багатофункціонального електрокоагулятора, медичного рубінового лазера.
Доброякісні внутрішньомозкові новоутворення півкуль головного мозку, як правило, можуть бути видалені в повному обсязі, тобто радикально, за умови, що пухлина не знаходиться у функціонально важливій, і, або глибинній зоні й ризик її повного видалення не переважає очікуваного позитивного ефекту в аспекті виживання і якості життя пацієнта після операції.
Тотальне видалення злоякісних гліальних пухлин мозку найчастіше неможливо у зв’язку з їх значним проростанням в навколишню мозкову тканину, ризику пошкодження життєво важливих зон мозкової тканини та кровоносних судин.
Вилучення пухлин шлуночкової системи головного мозку являє значні труднощі. У випадках, коли це не може бути виконано в повному обсязі, виконується так звана шунтуюча операція для відведення надлишку спинномозкової рідини (ліквору) з головного мозку в черевну порожнину з використанням спеціальної трубчасто-клапанної системи, яка знижує внутрішньочерепний тиск та покращує стан пацієнта.
Видалення метастатичних церебральних пухлин (операція) можливо, якщо вони являються одинокими та розташовані в доступній для вилучення зоні.
Іноді під час операції тканина пухлини мозку опромінюється спеціальним медичним лазером для загибелі максимально можливої кількості пухлинних клітин.
У деяких випадках, коли навіть часткове видалення пухлини головного мозку не представляється можливим, обсяг операції зводиться до декомпресійної трепанації черепа з метою зниження внутрішньочерепного тиску і хоча б тимчасового поліпшення стану пацієнта.
Нейрохірург Дмитрук В.С.
Стаття написана: 22.01.2026
Стаття перевірена медичним спеціалістом: 12.03.2025
Популярні напрямки:
Переваги
Звертаючись до нейрохірурга, ви можете розраховувати на:













