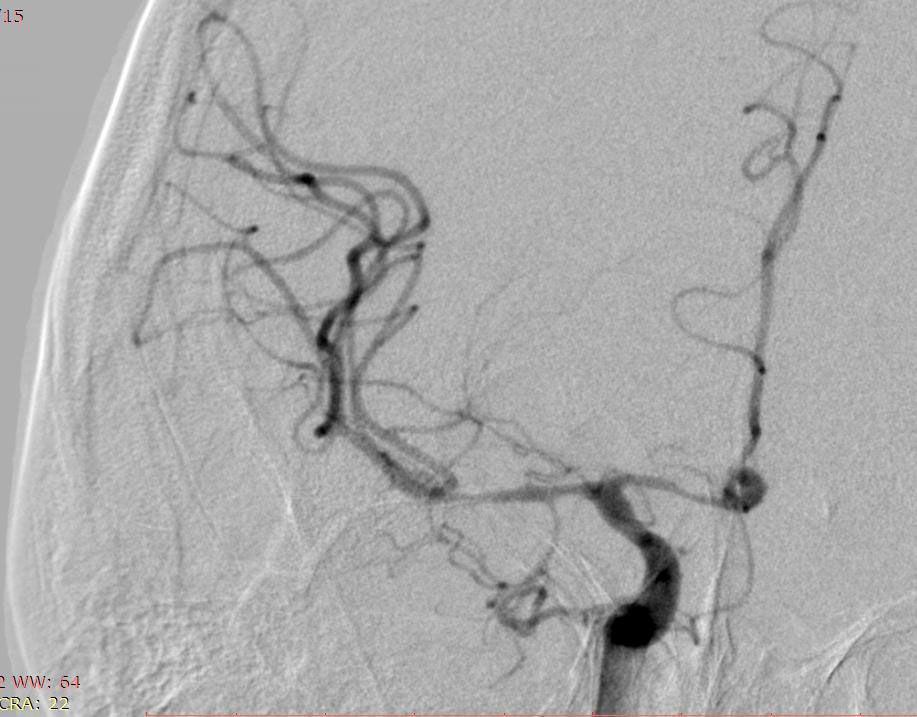
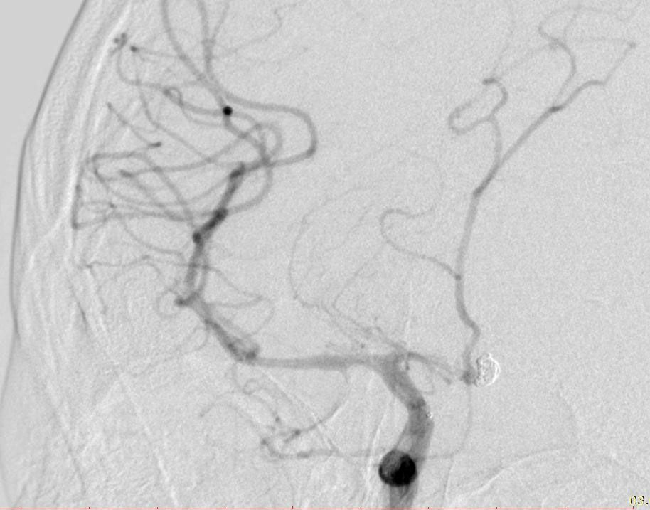
3.05.23 у КНП «ТОКПНЛ» ТОР вперше власними силами була емболізована аневризма судин головного мозку. В результаті розриву аневризми хворий К, 45 років отримав крововилив у мозок. Єдиний шлях лікування такої патології – це виключення аневризми (мішечку у стінці мозкової судини). Ендоваскулярний спосіб до зволяє зробити це без розрізів, безпечно, швидко та надійно. Через прокол на стегні пацієнту було заведено катетер у стегнову артерію та виконано ангіографію – знімок судин головного мозку, де була виявлена аневризма, а також важке ускладнення субарахноідального крововиливу: вазоспазм – звуження просвіту судин головного мозку іноді до повного зупинення кровотоку.

Аневризма: коли час вирішує все
Ми продовжуємо надавати високотехнологічну допомогу нашим пацієнтам. Нещодавно було проведено успішну операцію з лікування аневризми судин головного мозку — це небезпечне випинання стінки артерії, яке може розірватися та спричинити крововилив у мозок, що часто призводить до інвалідності або смерті. Завдяки злагодженій роботі команди, вдалося виконати невідкладне втручання та врятувати пацієнта.
Ендоваскулярна емболізація: хірургія зсередини
Операція була проведена за допомогою ендоваскулярної емболізації — це мінімально інвазивний метод, який не вимагає відкритого хірургічного втручання на мозку. Через артерію, зазвичай у стегні, лікар вводить тонкий катетер, який проводить безпосередньо до аневризми.
Під час цієї процедури у порожнину аневризми було введено спеціальні спіралі з пам'яттю форми (койли). Ці мікроспіралі скрутилися, утворивши щільний клубочок, що заповнив аневризму та запобіг повторній кровотечі. Додатково була виконана фармангіопластика — введення препаратів для зняття спазму судин, що дозволило безпечно дістатися до ураженої ділянки.
Сучасні технології та командна робота: запорука успіху
Ця складна операція стала можливою завдяки сучасному ангіографу Siemens Artis One, який надає хірургам чітке зображення судин у реальному часі. Але найголовніший фактор успіху — це злагоджена робота усієї операційної бригади: досвідчених нейрохірургів, анестезіологів, навчених медичних сестер та інших фахівців.
Операцію виконали: Леонтьєв О.Ю., Журавльов О.Ф., Фещенко Б.С., Молчанова І.О..
Результат та подальша перспектива
Завдяки вчасному втручанню, пацієнт вийшов з операційної без жодного неврологічного дефіциту. Його життя врятоване, і він почувається добре. Хоча він потребуватиме довічного спостереження, щоб контролювати ризик утворення нових аневризм, він отримав шанс на повноцінне життя. Ця історія ще раз доводить, що такий важкий вид інсульту, як крововилив з аневризми, може бути лікований невідкладно, швидко та безпечно.
Не знайшли свій діагноз?
Запишіться на консультацію — лікар визначить план лікування
