Вчора у КПН «Тернопільська обласна клінічна психоневрологічна лікарня» ТОР була виконана вчергове ургентна процедура при ішемічному інсульті, що називається тромбектомія.

Інсульт: нова надія на порятунок завдяки тромбектомії 3 Тернопіль

Ішемічний інсульт: історія порятунку

Пацієнтку, 87 років, терміново доставили до лікарні з підозрою на інсульт. Після комп'ютерної томографії (КТ) діагноз підтвердився: ішемічний інсульт, спричинений тромбом у лівій середній мозковій артерії. У пацієнтки спостерігалися типові та тривожні симптоми: значне порушення мови (афазія), повна втрата рухів правої руки та слабкість правої ноги.

Тромболізис: перший крок до відновлення

Спочатку пацієнтці виконали тромболізис – тобто внутрішньовенно ввели фермент, який розсмоктує тромби. Після цього частково відновилася мова, але рухи у правих руці та нозі не відновлювалися. Тому було прийнято рішення про виконання важливого втручання – механічної тромбектомії. Лікар Олександр Журавльов, який тільки на минулому тижні повернувся з навчань у м. Полтава з приводу механічної тромбектомії, блискуче виконав операцію. Він через стегнову артерію завів у судини голови тоненьку трубочку та пристрій, який зветься стент-ретривер. Останній – це виконана з тонюсенького дроту сітка, яка розкривається у просвіті судини, врізається у тромб та дістається разом з тромбом. Додатково використовувався аспіраційний катетер. Разом, шляхом витягування стент-ретриверу та аспірації катетером видалено тромб з середньої мозкової артерії.

Інсульт: нова надія на порятунок завдяки тромбектомії 4 Тернопіль

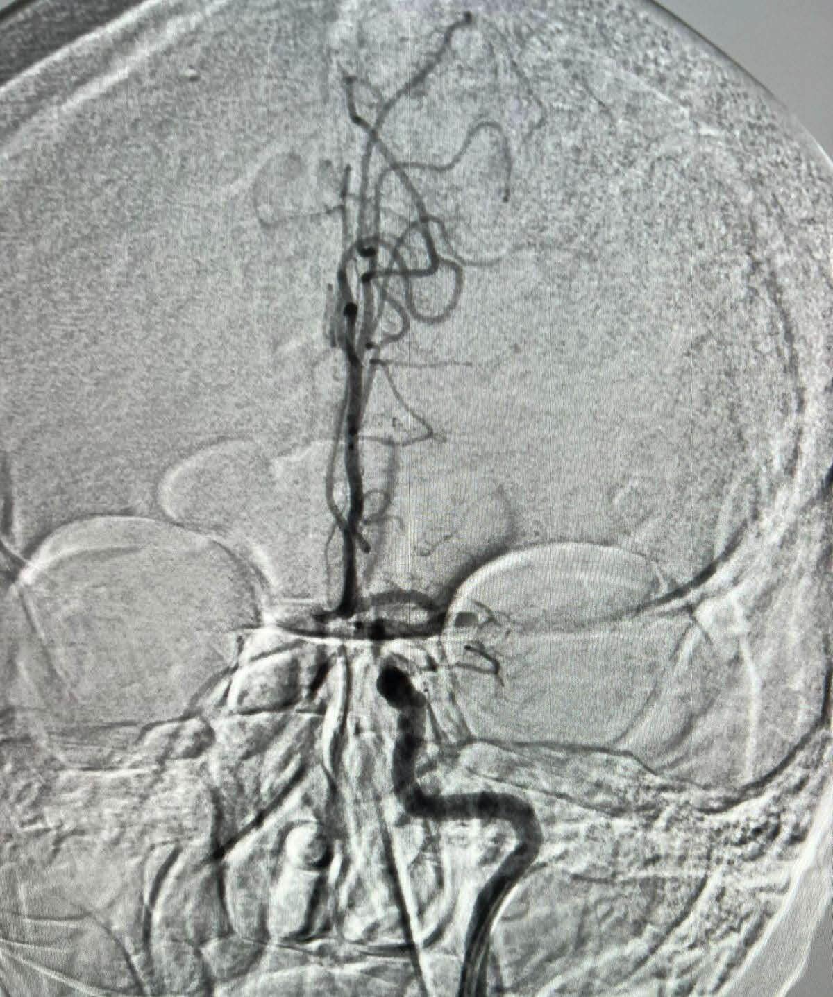
Механічна тромбектомія: інноваційний метод лікування

Механічна тромбектомія — це мінімально інвазивна ендоваскулярна операція, яка проводиться для видалення тромбу з артерії. Хірург виконав цю складну процедуру, використовуючи найсучасніші технології. Через стегнову артерію було введено тонкий катетер, який провели до судин голови. За допомогою цього катетера лікар доставив до тромбу пристрій, що називається стент-ретривер. Ця спеціальна сітка, виготовлена з тонкого дроту, розкрилася всередині артерії, проникла в тромб і дозволила хірургу витягнути його разом із сіткою. Додатково для кращого видалення залишків тромбу був використаний аспіраційний катетер.

Результат: повне відновлення кровотоку та покращення стану

Завдяки майстерно виконаній операції кровотік по раніше «закритій» артерії був повністю відновлений. Уже наступного ранку стан пацієнтки значно покращився: рухи в руці та нозі відновилися, що дає надію на подальше повне одужання. Проблема з мовою ще залишається, але очікується, що вона поступово відновиться під час реабілітації.

Ця історія демонструє, наскільки ефективною та безпечною є механічна тромбектомія, навіть для пацієнтів поважного віку. Завдяки цій технології, пацієнтку перевели з реанімаційного відділення до інсультного центру, де вона продовжить лікування. Це свідчить про те, що сучасні ендоваскулярні методики відіграють ключову роль у збереженні здоров'я та якості життя пацієнтів з інсультом.

Ендоваскулярні методики відтепер повністю на стражі здоров’я пацієнтів тернопільської області.

Стаття написана: 04.07.2023

Стаття виправлена: 01.09.2025

Стаття написана: Леонтьєв Олексій

Готові почуватися краще? Тоді просто заповніть форму нижче