До відділення звернувся пацієнт, який отримав важке вогнепальне поранення хребта та живота. Пацієнт отримав хірургічне лікування у військовому шпиталі, де також було виконано стабілізацію ушкодженого хребта. Але, доля так склалася, що військового знову відправили на фронт, де він в умовах важких фізичних навантажень зрозумів, що важкий больовий синдром не дає йому можливості захищати свою країну.

Тривале лікування по різних шпиталях не дало потрібного ефекту. Ходити він міг тільки з милицями, а при ході та взагалі у вертикальному положенні відчував сильний стріляючий біль у лівій стопі.
Він звертався у кілька клінік, але отримав відмову у зв’язку з тим, що «оперували у іншому місті, інші лікарі», або «складним випадком». Лікарі відділення, де проходив лікування пацієнт самі знайшли нашу клініку та звернулися до Журавльова О. Переслали знімки. «У нейрохірургічному відділенні КНП ТОКПЛ ТОР пройшов консиліум – вирішили, що допомогти нашому герою ми зможемо», - розповідає Олександр Журавльов, лікар-нейрохірург нейрохірургічного відділення.
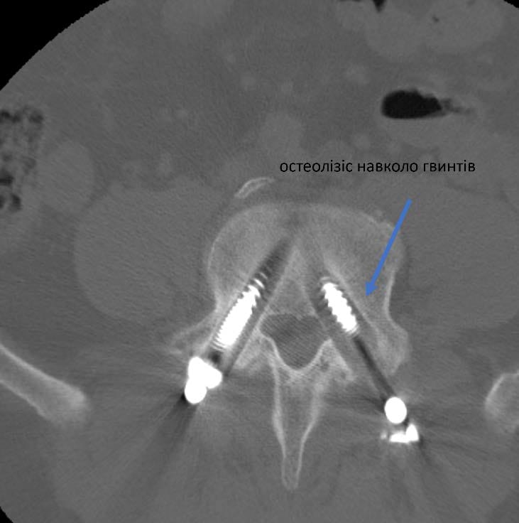
Усі повторні операції пов’язані з більшим ризиком ускладнень та потребують ретельного планування. «З одного боку це був цікавий випадок. З іншого – ми завжди допомагаємо нашим військовим з особливим задоволенням», - розповідає Олексій Леонтьєв. Склалося так, що у пацієнта було встановлено 6 гвинтів, з яких 1 поламався, 3 розхиталося і таким чином його хребет втратив опороздатність. Складність операції полягала і ще у тому, що зламану частину гвинта видалити практично неможливо і ставало питання про встановлення додаткових гвинтів та видалення тих що розхиталися. План був складений. На допомогу прийшли наші колеги (https://www.facebook.com/Implants.in.ua), які надали металоконструкцію, що була необхідна для пацієнта.
Це була складна операція. Вона тривала 7 годин. Розхитані та поломані гвинти було видалено, а також конструкцію було додатково укріплено ще гвинтами. Перепроведено тазовий гвинт. Також була виконана декомпресія корінця S1 що давав виражений больовий синдром.
У операційній працювали:
- хірург – О. Леонтьєв,
- асистент – О. Журавльов,
- анестезіолог – А. Мусієнко,
- операційна сестра – І. Молчанова.
Результати реоперації на наступних малюнках:
В результаті операції біль у спині повністю пройшла. Больовий синдром у стопі значно зменшився. Пацієнт ходить без ходунців, активно переміщується і почуває себе набагато краще.
Дякуємо нашим військовим за те, що вони обирають нас! Ми виконуємо оперативні втручання найвищої складності у тому числі і ревізійну хірургію.
Слава Україні!


