Що таке забій головного мозку середнього ступеня
Це важка ЧМТ, яка виникає в результаті грубого прикладання механічної сили під час мирного або воєнного часу, характеризується розвитком різних неврологічних ускладнень та часто призводить до стійкої інвалідизації.
За частотою як правило вражаються полюса лобних та базальні відділи скроневих доль. В рідших випадках страждає стовбур мозку, підкіркові ганглії та структури задньої черепної ями.
Симптоми
Симптоми забою головного мозку середнього ступеня:
- вегетативні,
- вогнищеві
- та загальномозкові.
Діагностика
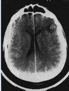
Основним діагностичним стандартом є КТ голови, при якій виявляють вогнищеві зміни в речовині мозку. Часто на КТ знаходять переломи основи та склепіння черепа.
Консервативне лікування забиття середнього ступеня
Лікування може бути як консервативним, при якому за пацієнтом ведеться 24 годинний динамічний контроль, або хірургічним. Детальніше про лікування та наслідки поговоримо в наступних розділах.
Показання
Пацієнти з забоєм головного мозку середнього ступеня обов’язково повинні отримувати лікування в нейрохірургічному відділенні, при наявності порушень дихання або серцевої діяльності пацієнт переводиться у відділення інтенсивної терапії. При відсутності показань до хірургічного втручання призначається комплексна консервативна терапія.
У ранньому періоді травми показаний постільний режим з ранньою активізацією пацієнта, забезпечується достатнє введення рідини для оптимізації доставляння кисню і поживних речовин до тканин мозку.
При відсутності порушень свідомості – пацієнту призначається рясне пиття до 2-х літрів на добу,
при порушеннях свідомості – необхідну кількість рідини пацієнт отримує внутрішньовенно.
Лікування
При набряку головного мозку, пацієнту обов’язково призначається протинабрякова терапія (гекотон, маніт) і сечогінні препарати.
Не менш важливим є призначення знеболювальної терапії, при вираженому больовому синдромі можливе призначення комплексу препаратів. Для поліпшення мозкового кровообігу, поліпшення трофіки та відновлення пошкоджених ділянок мозку призначаються ноотропні препарати і вітаміни групи В.
У комплексне лікування також входять фізіопроцедури (магнітотерапія голови). Можливий розвиток судомного синдрому, який купірується призначенням протисудомних препаратів. При необхідності, протягом лікування у відділенні пацієнту виконується комп’ютерна томографія.
Загальна тривалість перебування у відділенні становить 21 день.
Оперативне лікування забою середнього ступеня
Діагностика
Після того як пацієнт з ЧМТ надходить у приймальне відділення нашої лікарні черговий нейрохірург проводить огляд, і по протоколу діагностики даного захворювання в ургентному порядку призначається комп’ютерна томографія голови і при необхідності шийного відділу хребта.
Після результатів діагностики лікар приймає важливе рішення про тактику лікування даного пацієнта, тобто потрібно точно вияснити чи є покази до оперативного втручання.
Показами є:
- масивні вогнища забоїв мозку,
- наявність внутрішньочерепних гематом,
- уламкові переломи кісток черепа.
При відсутності показів до операції призначається консервативна терапія з 24 годинним моніторингом артеріального тиску, сатурації пацієнта.
Операція
Часто під час отримання консервативної терапії стан пацієнта погіршується, в такому випадку роблять контроль КТ голови, і при необхідності пацієнта в ургентному порядку оперують.

Суть хірургічного лікування
- Зниження внутрішньочерепного тиску шляхом декомпресії.
- Видалення гематоми та уламків кісток черепа.
Стаття написана: 22.01.2026
Стаття перевірена медичним спеціалістом: 12.01.2026
Популярні напрямки:
Переваги
Звертаючись до нейрохірурга, ви можете розраховувати на:









