Переломи склепіння черепа та лобних пазух
При черепно-мозковій травмі з прикладанням ударної сили до кісток черепа досить часто можуть виникати переломи – як склепіння, так і основи черепа.

Різновиди переломів
- лінійні,
- осколкові,
- дірчасті,
- вдавлені.
Переломи виникають при вдавленні кісткових уламків в порожнину черепа. У зв’язку з цим вони поділяються на:
- Імпресійні, коли зберігається анатомічний зв’язок уламків з прилеглими кістками черепа,
- Депресійні – коли анатомічний зв’язок втрачається.

Ступені зміщення уламків
Крім цього, вдавлені переломи відрізняються за ступенем зміщення уламків в порожнину черепа.
Більш за товщину зламаної кістки
Якщо зсув в порожнину черепа відбувається більше за товщину зламаної кістки, то це веде до:
- здавлення нижче розташованих тканин головного мозку,
- поранення або здавлення прилеглих кровоносних судин, що викликає розвиток тих
- чи інших неврологічних симптомів.
Іноді під ділянкою перелому утворюється зона забиття головного мозку. Крім того, потрібно враховувати, що під кістками черепа розміщуються мозкові оболонки.

Пошкодження шкіряні покриви
У тому випадку, якщо шкірні покриви та прилеглі м’які тканини над зломаною кісткою є пошкодженими, то така черепно-мозкова травма з переломом відноситься до відкритої та тому виникає ризик проникнення інфекції в порожнину черепа.


Пошкоджена тверда мозкова оболонка
У разі, якщо пошкоджена тверда (дуральна) мозкова оболонка і через рану (або природні отвори) витікає прозора рідина, так званий ліквор, що в нормі омиває головний і спинний мозок, то така черепно-мозкова травма вважається відкритою і проникаючою. У цьому випадку, як правило, необхідно хірургічне лікування.
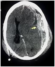
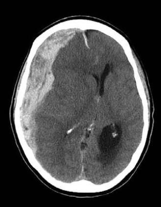
Діагностика
Вдавлений перелом може бути виявлений при хірургічній обробці рани, за допомогою рентгенографії кісток черепа, і краще за все діагностується при виконанні комп’ютерної томографії голови.

Оперативне лікування
Вдавлені переломи кісток черепа, як правило, вимагають оперативного нейрохірургічного лікування.
При виконанні операції вдавлені відламки, якщо це є можливим, підійматися до їх нормального анатомічного рівня, після чого роблять кріплення до оточуючих кісток за допомогою спеціальних титанових імплантів, шурупів і спеціального медичного цементу.
У разі, якщо тверда (дуральна) оболонка мозку є пошкодженою, необхідно ретельно вшити її або ж виконати герметичну її пластику природними тканинами або спеціальними матеріалами.

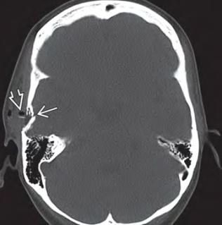
Вдавлені переломи стінок лобових пазух
Іноді, при травматичних ушкодженнях лобової кістки, може виникати так званий вдавлений перелом зовнішньої та / або внутрішньої стінок лобової (фронтальної) пазухи.
Вона розташовується в області надбрів’я, є повітроносною пазухою, її стінки є досить тонкими та досить легко ламаються, що проявляється досить помітним вдавлення в травмованій області, яке сприймається як серйозний косметичний недолік.
Особливість лобної пазухи
Полягає в тому, що вона є повітроносною порожниною, і має анатомічний зв’язок з іншими навколоносовими пазухами, і може містити патогенні (хвороботворні) бактерії, які здатні викликати інфекційні ускладнення в зоні вдавленого перелому, що, своєю чергою, може привести до розвитку внутрішньочерепної інфекції.

Оперативне втручання
Крім того, важливим є той момент, щоб оперативне втручання було проведено якомога раніше, щоб не допустити можливості неправильного зрощення вдавлених кісткових уламків.
Під час операції кісткові фрагменти вдавленого перелому встановлюють на своє місце, після чого відбувається їх фіксація титановими імплантами та шурупами.
У разі, якщо пошкоджена задня стінка лобової пазухи, є досить висока ймовірність того, що мозкові оболонки теж пошкоджені, через що можлива лікворея – витікання спинномозкової рідини із зони перелому.
Тоді необхідно ретельно вшити пошкоджену тверду (дуральну) мозкову оболонку або ж виконати герметичну її пластику природними тканинами або спеціальними матеріалами.

Консервативне лікування
Консервативне лікування вдавлених переломів проводиться, якщо:
- зміщення уламків в порожнину черепа не досягає товщини кістки,
- відсутність неврологічної симптоматики,
- відсутність ознак компресії мозку,
- у разі відмови хворого від оперативного лікування.
Особлива увага в курсі консервативної терапії приділяється профілактиці внутрішньочерепних інфекційних ускладнень.
Залишити відповідь