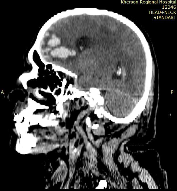
Дифузне аксональне пошкодження головного мозку (ДАП)
Дифузне аксональне пошкодження головного мозку як окремий вид тяжкої ЧМТ вперше описується в 1956 р. ДАП проявляється тривалою комою, що з’являється з ЧМТ.
ДАП зумовлений дифузно розширеними по мозковим структурам розривами аксонів та дрібновогнищевими крововиливами.
Зазвичай пошкоджується:
- стовбур мозку,
- мозолисте тіло,
- біла речовина півкуль
- та перивентрикулярні ділянки.
Прояви
Дифузне аксональне пошкодження головного мозку (ДАП) найчастіше проявляється у молодих людей та дітей. У дитячому віці протікає з більш грубим неврологічним дефіцитом.
Ступені тяжкості
Окремі автори пропонують поділ ДАП за ступенем тяжкості.
- Легкому ступеню відповідає тривалість коми 6-24 год,
- помірному — кома довше доби, але без грубих стовбурових проявів.
- Важке проявляється довготривалою комою з симптомами декортикації та децеребрації.
У будь-якому випадку ДАП це серйозний стан з високим ризиком переходу в вегетативний стан з подальшим летальним закінченням.
Саме тому його ефективне лікування залишається актуальною проблематикою практичної травматології та неврології.
Оперативне лікування забою тяжкого ступеня
Причини забоїв тяжкого ступеня
Оперативне лікування забоїв головного мозку важкого ступеня показано при появі компресивно-дислокаційного синдрому, тобто при компресії мозку.
Причиною компресивно-дислокаційного синдрому можуть бути:
- удари,
- розчавлення головного мозку,
- внутрішньочерепні гематоми (внутрішньомозкові, епідуральні, субдуральні),
- набряк і набухання головного мозку, які не піддаються консервативній (медикаментозній) терапії.
Лікування забоїв тяжкого ступеня
Всім хворим в коматозному стані встановлюють датчик через невеликий отвір в черепі. Датчик може бути встановлений в шлуночок головного мозку, або в саму тканину головного мозку.
Датчик підключається до монітора, за допомогою якого визначається внутрішньочерепний тиск (ВЧТ). При наростанні ВЧТ проводиться інтенсивна терапія для зниження ВЧТ, в тому числі й виведення ліквору зі шлуночка мозку.
За умови що ці методи неефективні, то проводять оперативне лікування підскроневу декомпресійну трепанацію черепа з 2-х сторін мінімальними розмірами 12х12 см. Таким чином головний мозок звільняється від здавлення.
Трепанація черепа
За умови компресії головного мозку внутрішньомозковими гематомами або вогнищами розтрощення мозку також проводиться трепанація черепа необхідного розміру. Потім через розітнуту в безпечних ділянках тканину головного мозку спеціальним мікроінструментом видаляються вогнища ушкодженого мозку та гематоми.
Видалення субдуральних, епідуральних гематом описано в інших розділах.
Консервативне лікування забиття важкого ступеня
Консервативна терапія
При забоях головного мозку важкого ступеня, якщо відсутній компресійно-дислокаційний синдром (здавлення мозку) – проводиться консервативна терапія.
Хворі лікуються у відділенні реанімації. Для достатньої оксигенації мозку пацієнт відразу переводиться на апаратне дихання (ШВЛ – штучна вентиляція легень).
З огляду на необхідність в тривалій ШВЛ та адекватного очищення трахеобронхіального дерева, через 3-5 діб пацієнтові накладається трахеостома. ШВЛ проводиться до відновлення якісного самостійного дихання.
При необхідності використовують спеціальні режими ШВЛ, а також режими з проведенням допоміжного дихання.
Велика увага приділяється харчуванню пацієнта. Проводиться як ентеральне харчування (зондове), так і парентеральне (введення поживних речовин у вену). Як можна раніше вирішується питання про постановку мікрогастростоми, що запобігає розвитку інфекційних ускладнень у легенях.

В обов’язковому порядку проводиться регуляція:
- кислотно-лужного,
- водно-електролітного,
- білкового балансу.
Антибактеріальна терапія проводиться з урахуванням регулярних посівів на флору (бактерії), і з урахуванням бактеріального фону відділення.
Для нормалізації та відновлення функцій головного мозку проводиться нейропротекторная терапія.
Профілактика
Профілактика пролежнів проводиться з використанням протипролежневих матраців. Крім цього проводять часті повороти пацієнтів з використанням необхідних укладок, шкіру обробляють спеціальними розчинами і мазями.
Для профілактики розвитку контрактур (укорочення сухожиль), проводиться:
- лікувальна фізкультура,
- масаж,
- фізіотерапевтичні процедури.
Прогноз визначається ступенем пошкодження головного мозку, тривалістю і глибиною коми.
Смертність досягає до 33%. При тривалому перебуванні пацієнта в комі, прогноз несприятливий.
Нейрохірурги Селедець О.А., Дмитрук В.С.
Стаття написана: 22.01.2026
Стаття перевірена медичним спеціалістом: 12.01.2026
Популярні напрямки:
Переваги
Звертаючись до нейрохірурга, ви можете розраховувати на:








