Надання допомоги нашим військовим є дуже важливою частиною нашої роботи.
До нас звернувся пацієнт 40 років, який виконував свій борг перед батьківщиною на фронті та постійно переносів важки речі, носив бронежилет та піддавався важким фізичним навантаженням. Поступово у здорової людини виник біль у правій руці, який наростав, а лікування у військовому лазареті не допомогло. Пацієнта скерували до Тернопільської обласної клінічної лікарні, де він проходив дуже потужний курс лікування у неврологічному відділенні. Нажаль, лікування не стало ефективним і на консультацію запросили нейрохірурга.
Під час огляду у пацієнта було виявлено зниження сили у двоголовому м’язі справа. Порушення чутливості у зоні інервації корінця С6 та позитивні симптоми натяжіння. Відсутність ефекту від консервативного лікування вимагала запропонувати оперативне втручання. Пацієнт охоче погодився, тому що больовий синдром був настільки сильним і виснажуючим, що він не міг спати та йому дуже важко було знайти положення шиї і руки, щоб не боліло. Цілими днями пацієнт намагався незупинно ходити, щоб менше відчувати біль. А вночі пацієнт часто прокидався та мав постійно вживати знеболюючі.
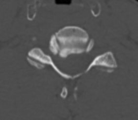
Під час огляду було виявлено значне звуження корінцевого каналу С6 корінця, яке викликало подібну симптоматику. Такі звуження корінцевих каналів виникають, як правило, при випинанні кили диску або при розростанні кісткової тканини тіл хребців та суглобових відростків. Це приводить до затискання корінця. Такий стан вилікувати консервативно практично неможливо.

Операцію в цьому випадку повинна включати видалення зайвих кісткових та м’якотканинних структур (диски, зв’язки) для декомпресії корінця та стабілізацію хребта. Але є альтернативні види втручань, коли видалення кісткових та зв’язкових структур не обов’язково вимагає фіксації. До таких процедур відноситься передня декомпресія корінця. Під час процедури видаляється мінімальна кількість кісткової та сполучної тканини, що дозволяє сегменту (2 суміжних тіла хребця та диск) залишитися стабільним.
Операцію було виконано у КНП «Тернопільська обласна клінічна психоневрологічна лікарня» ТОВА завідувачем нейрохірургічного відділення Олексієм Леонтьєвим. Асистував йому В’ячеслав Дмитрук. Операція пройшла успішно. Біль зник одразу після втручання. Неврологічна симптоматика (слабість у м’язах та порушення чутливості зникли протягом наступних 5 днів). Ускладнень та наслідків не було. Відеозвіт
На 6 день пацієнт був виписаний з лікарні у задовільному стані. Йому дали ще 30 днів на відновлення на ВЛК, а далі він би хотів продовжити захищати країну.
Таки мініінвазивні та ефективні методи лікування патології хребта можливі завдяки наявності дуже якісного сучасного обладнання у операційній КНП «ТОКПЛ» ТОР та досвіду виконання таких операцій у лікарів відділення. Ми завжди чуйно та поважно ставимося не тільки до наших військових, але й до цивільних пацієнтів. З радістю допомагаємо усім по мірі свої можливостей.
І, наразі, необов’язково ставити стабілізуючі конструкції і метал у кожному подібному випадку. До того ж, відсутність зрощення хребців зберігає рухомість сегменту та благодійно впливає на весь хребет, зберігаючи його нормальне фізіологічне функціонування.